Bronca e indignación: salió a pasear con sus nietos y terminó con una fractura por los pozos en la plaza
- Telediario Digital

- 30 sept 2025
- 1 Min. de lectura
“La placita no tiene mantenimiento hace meses, no tiene luz hace más de un año”, denunció Mabel, una vecina que resultó herida tras un accidente ocurrido el jueves por la noche en el espacio verde ubicado en Mariquita Sánchez de Thompson al 1800.

Según relató en un mensaje enviado a Periodismo Ciudadano, Mabel caminaba junto a sus nietos cuando sufrió una fuerte caída.
“El jueves por la noche caminando por la placita de Mariquita Sánchez de Thompson 1800 con mi nieta de dos años en brazos y la compañía de mi nieto de 9 años, metí sin ver el pie en uno de los tantos pozos del lugar”, contó.
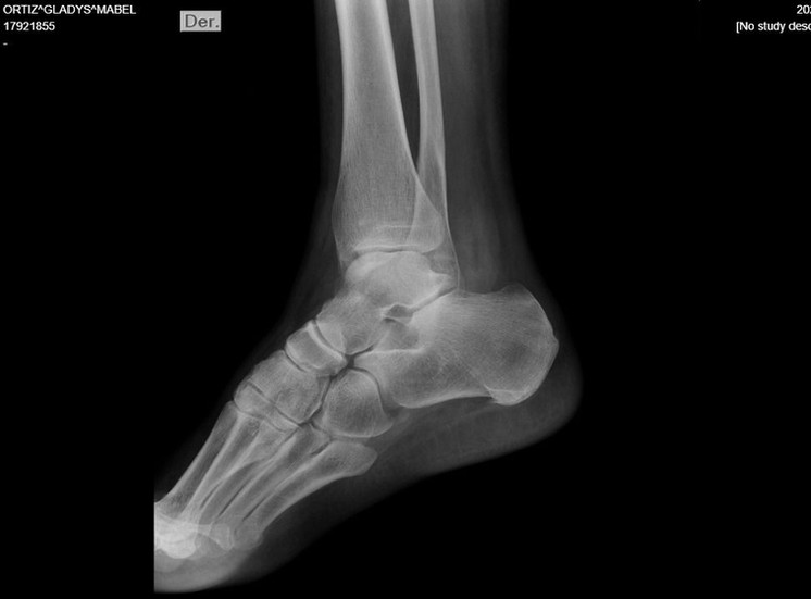
El golpe le provocó fractura de peroné y esguince de tobillo, lesiones que derivaron en una prescripción médica de 30 días de reposo y la imposibilidad de asistir a su trabajo. “Gracias a Dios mi nieta no se hizo nada”, agregó.
La vecina además cuestionó el estado general del espacio público: “La placita no tiene mantenimiento hace meses, no tiene luz hace más de un año, el pasto sin cortar hace meses. Al no haber luz no se ven los pozos”, enumeró.
Finalmente, expresó su frustración por la falta de respuestas oficiales: “Ya no se sabe a quién más reclamar”, afirmó.
























